Sonador IO
Sonador IO is the data management interface of Sonador used to securely store medical images so that they can be queried, retrieved, and transferred. It provides a streamlined way to share medical image data with other institutions across the Internet or other applications within the hospital.
Platform Components
Sonador IO is comprised of a rich ecosystem of libraries, tools, and programs to support medical imaging development. It enables healthcare organizations and researchers to own their data while providing integrations with clinical tools and cloud platforms.
Sonador's cloud platform is built on open source technologies including:
The Sonador web application runs within a hospital, institutional network, or a trusted cloud environment and provides security and integration APIs allowing for the systems used in Sonador to work in concert.
Applications run in containers and communicate across standard protocols such as DICOM and DICOMweb, exchanging data in standard formats such as DICOM, DICOM-SR, and DICOM-SEG. Python Client libraries provide tools to translate meta, image, and annotation data to formats which can be used by frameworks such as OpenCV, PyTorch, TensorFlow, OpenCascade, PyVista, and others for custom application development. A web based viewer (OHIF) enables clinical staff to review imaging studies, segmentations, models, and other imaging data to verify and validate findings, plans, or designs.

Medical Imaging Database
At the center of Sonador is the highly scalable imaging database, Orthanc, and set of libraries that can be deployed on-premise or in the public cloud, greatly simplifying medical data exchange. Orthanc securely stores medical images in their standard DICOM format, allowing the system to integrate with other tools in the healthcare IT infrastructure while the libraries can assist users in retrieving and moving data from one system to another.
Security and Integration
Security in Sonador IO is provided by the Sonador web application. It provides user and group management, role based access control, authentication/authorization workflows, service discovery, centralized configuration, and a set of integration APIs that allow for Orthanc, OHIF, and modalities to work together in concert.
DICOM Viewer
Sonador IO includes an embedded copy of the OHIF DICOM viewer with support for a wide range of modalities (MRI, CT, ultrasound, X-ray, and more); 2D/3D visualization; multi-planar reconstruction (MPR); segmentation (DICOM-SEG) and structured reporting (DICOM-SR); and whole-slide imaging. This allows for radiologists, researchers, and others to review and comment imaging studies without requiring them to install additional software.
 
 
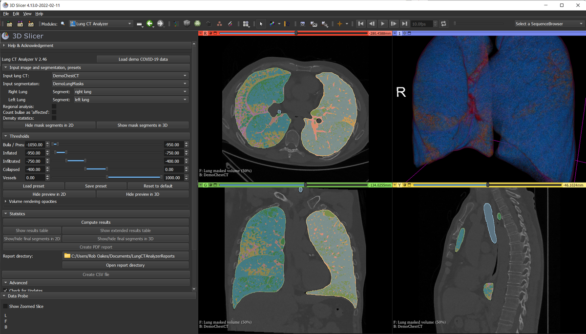
Image Segmentation, Registration, and 3D Analysis
Sonador IO integrates with programs such as 3D Slicer which can be used for advanced biomedical image analysis. Using Slicer, it is possible to create segmentations for surgical planning, generating training datasets for AI, or for advanced simulation.
Once data has been processed, results can be exported to DICOM segmentations; registration objects; structured reports (DICOM-SR); parametric maps; or RT structure sets, plans, images, and dose maps. Slicer supports the DICOMweb and DICOM network protocols, which makes it easy to send results back to Orthanc for verification and validation.
 
 
 
 
Python
Sonador IO includes a Python software library for the Orthanc REST API which allows developers to work with imaging resources using an object-relational mapping (ORM) interface similar to those provided by the popular web development framework Django and SQLAlchemy. This greatly simplifies the implementation of complex systems and allows for data stored in Orthanc to be integrated with popular Python libraries for Machine Learning, Artificial Intelligence, and 3D processing.
The client library interfaces with the security controls provided by the Sonador web application, ensuring that only authorized users are able to access resources.
 
 
 
 
 
 
 
Comments
Loading
No results found