Getting Started
Be up and running with Sonador in ten minutes on your local machine using our quick start guide.
The open-source cloud platform for medical imaging visualization and research. Sonador helps researchers and developers solve clinical and scientific challenges by providing tools to create real-time, secure, and scalable solutions.
Sonador empowers healthcare providers, researchers, and developers with best-in-class tools for storing, visualizing, and quantifying imaging and other forms of complex data. It also provides integrations and patterns to enable standards-based, collaborative, flexible, and scalable imaging solutions.
Sonador is comprised of a rich ecosystem of libraries, tools, and more to support medical imaging development.
Sonador allows you to create networks to securely share images, reports, and research data with collaborators and referral sites. It also provides tools to help de-identify studies and granular permissions to give access to only a subset of DICOM studies.
Sonador provides tools to create deep learning models using PyTorch/MONAI and TensforFlow. AI and Computer Vision applications developed using Sonador are compatible with MONAI Label and MONAI Deploy, providing a streamlined toolkit simplifying their deployment and integration into clinical environments.
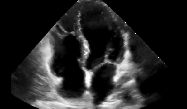
Sonador provides tools for the creation and review of 3D models from medical imaging data. Using computer vision models, 3D Slicer, or ITK-SNAP you can segment anatomy to create accurate 3D models and use those as the starting point for advanced 3D analysis, planning, personalized instrumentation, finite element meshing, or 3D printing.
Sonador uses broadly adopted open source tools to enable data exchange; creation of AI models; deployment to on-premise infrastructure or public cloud; and segmentation, landmarking, and 3D model development.
The open source medical imaging community is a tightly knit group of medical professionals, researchers, and developers who can help you get started.
The components of Sonador allow you to create custom interfaces that can be tailored for many types of image visualization and analysis. Once ready and because Sonador adheres to industry standards such as DICOM and HL7/FHIR, you can effortlessly package and deploy your solution to your local network or the public cloud.
Sonador is built on proven open source technologies that allow you to move from prototype to solution quickly. Sonador provides a base platform for every aspect of imaging development. This allows you to focus on high value work such creating new clinical workflows, models, and integrations without worrying about proprietary lock-in.
Built using native technologies which can be deployed on-premise or in the public cloud, Sonador IO provides picture archiving and communication systems (PACS) services and a broad set of DICOM and FHIR compatible endpoints. This allows medical images and other forms of health data to be stored, queried, retrieved, and shared securely using standard protocols such DICOM and DICOMweb. A Python client library is available which can be used from Jupyter Notebooks or other Python applications.


Sonador AI is a collection of software libraries and tools that can be used to work with imaging meta and pixel data, three-dimensional representations of image stacks, and interface with popular deep learning libraries such as PyTorch and TensorFlow for creating AI models. It also provides quality assessment tools that can be used to help clinical staff review and validate the results of AI models.
Sonador 3D provides libraries and integrations to transform medical imaging data into 3D models for use in surgical navigation, 3D printing and other advanced research applications such as ITK-SNAP, 3D Slicer, the MIMICS Innovation Suite, or computer assisted drafting (CAD) programs such as FreeCAD.

